Explore Your Gummy Smile Correction Options
Are you self-conscious about your smile because you believe your gums show too much? The gummy smile procedure is a relatively simple surgical procedure that can reshape your gums and let you smile with confidence.

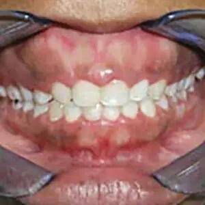
Teeth that are covered by excessive gum tissue look short and unhealthy. The gum tissue should be at or just above the neck of the tooth, called the cementoenamel junction. Sometimes the tissue may cover one-half or more of the tooth. A “gummy” smile is usually defined when just over an eighth of an inch of gum tissue shows.
Excessive gum tissue can be caused by many factors such as high bone tissue, incomplete eruption of the tooth, or thick gingival fibers. Having this excessive gum tissue can lead to unhealthy tissue that bleeds easily. It can also contribute to tooth decay. The excessive tissue allows food and bacteria to become trapped under the gum, causing inflammation. Patients may notice redness along their gum line, swelling, bleeding, and pain as the periodontal disease progresses. Long term, the inflammation can lead to bone loss.
Gummy Smile Treatment Methods
If you’re unhappy with your smile, come in for a consultation with one of our periodontists to see we can help you have the smile you always wanted. There are several ways to fix a gummy smile, depending on what’s causing it.
Before Treatment

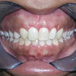
After Treatment

Gums
If excessive gum tissue is covering up too much of your teeth, your periodontist will administer a local anesthetic and then perform a periodontal plastic surgery technique called crown lengthening to remove the excessive tissue. In minor cases where only one or two teeth are affected, the dentist may be able to fix the gummy smile with laser treatment. Most of the time, however, the bone must be remodeled to correct the problem and restore the tooth to the proper length. Patients can see the results immediately.
Teeth
Some teeth may not be as long as others. If that’s the case, your teeth can be made to appear longer by capping them with crowns or covering them with thin porcelain veneers.
Lip
The upper lip typically moves 6 to 8 millimeters from a closed position to a full smile. If the lip rises higher, than more gum tissue will be revealed. In this case, the muscles that control the lip will need to be modified so they don’t raise the lip as much.
Jaw
Sometimes the upper jaw (maxilla) is too long for the face, a condition referred to as Vertical Maxillary Excess. If this is the case, the jaw would need to be repositioned with orthognatic surgery, performed by an oral & maxillofacial surgeon.
When our patients who have had gummy smile treatment return to our office for a follow-up visit, they usually tell us they cannot understand why they waited so long to have the procedure done. If you have a gummy smile, call us today at (877) 880-1212 for a consultation. We have a variety of ways to help you smile more, boost self-confidence, and promote better health. We look forward to hearing from you.